Mammograms show promise as tool for predicting heart disease and stroke in women
By Laura Williamson, American Heart Association News

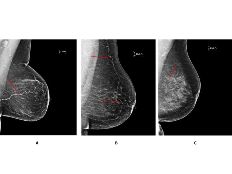
Routine mammograms are used to check women for breast cancer. But new research suggests they could do more than that: The images may help predict a woman's risk for major cardiovascular problems, such as heart attacks and strokes, when they show the presence of calcium buildup in the arteries of a woman's breast.
The findings suggest the presence of breast artery calcification may even be a better predictor of cardiovascular problems in some women than the currently used risk tool, providing a much-needed opportunity for prevention. The study will be presented Nov. 13 at the American Heart Association's Scientific Sessions conference in Philadelphia.
"We know we need to find better ways to predict heart disease in women before it happens," said lead researcher Dr. Thara Ali, a cardiology fellow at the Geisel School of Medicine at Dartmouth College in Hanover, New Hampshire. "We're saying these patients can be risk-stratified with routine mammograms they get every one to two years anyway. This is a pretty simple way the average cardiologist can find out if a woman is at risk."
Heart disease is the leading cause of death in the U.S., with stroke at No. 5. But while cardiovascular mortality rates have been declining, the reduction has been more pronounced among men and remained stagnant among women under 55.
"This is a major area we are failing at as cardiologists," Ali said. "We're really trying to address that gap with this research."
Her study builds upon a growing body of evidence suggesting screening mammograms may prove a useful tool for predicting cardiovascular risk because they reveal the presence of breast artery calcification, or BAC. Prior research has established BAC as a risk factor for cardiovascular disease.
During a decade of follow-up, researchers looked at the association between BAC and major cardiovascular events, which included heart attacks, strokes, putting in stents to keep arteries open, and death from any cause. The study included 1,216 women ages 40 to 75 who received screening mammograms at Dartmouth Hitchcock Medical Center. They had no coronary artery disease when the study began.
The researchers found BAC was detected through screening mammograms for 1 in 5 women, and twice as many women with BAC experienced a major cardiovascular event within 10 years as those whose mammograms showed no artery calcification. Among those with BAC, 21% later experienced cardiovascular events, compared to 11% of the women without BAC. Women with BAC were older, more likely to have high blood pressure and diabetes, and more likely to take cholesterol-lowering statins and blood pressure medication.
Ali and her colleagues also looked at how the results compared to cardiovascular risk predictions made using the Pooled Cohort Equation, which is the current standard for predicting cardiovascular risk in both men and women. They found the risk equation underestimated future cardiovascular events in women and that the presence of BAC was a better predictor. That was especially true among women whose risk equation score placed them at low risk: 18% with BAC had a cardiovascular event, compared to 7% without calcification in their breast arteries.
The findings are considered preliminary until full results are published in a peer-reviewed journal.
"We are always trying to look for optimal ways to predict risk and optimize preventive strategies over a woman's lifetime," said Dr. Stacey Rosen, senior vice president at the Katz Institute for Women's Health at Northwell Health in New Hyde Park, New York.
"Our usual tools do not work particularly well for women," she said. "This study adds to the body of literature suggesting breast artery calcification may be an important and readily available risk predictor for women."
Rosen said researchers still need to determine whether BAC can predict cardiovascular risk across different races and ethnicities, given that the current study included mostly non-Hispanic white women, and to investigate how BAC's predictive abilities are affected by the presence of other cardiovascular risk factors.
The findings need to be confirmed in large trials that follow women over time so that guidelines can be established for reporting BAC to women and their health care professionals when it appears on a mammogram, Ali said.
"Radiologists see the calcification but haven't been reporting it because the guidelines don't ask them to report it," she said. "They are missing an opportunity to speak with women about reducing other, modifiable cardiovascular risk factors," such as high cholesterol, high blood pressure, lack of physical activity, smoking or obesity.
"We can't change the calcification of their arteries, but we can aggressively address other risk factors," Ali said.
Find more news from Scientific Sessions.