Mammograms may help predict heart disease, stroke risk in women after menopause
By American Heart Association News

Routine mammograms used to screen for breast cancer also could help identify postmenopausal women at higher risk for heart attacks or strokes, a new study suggests.
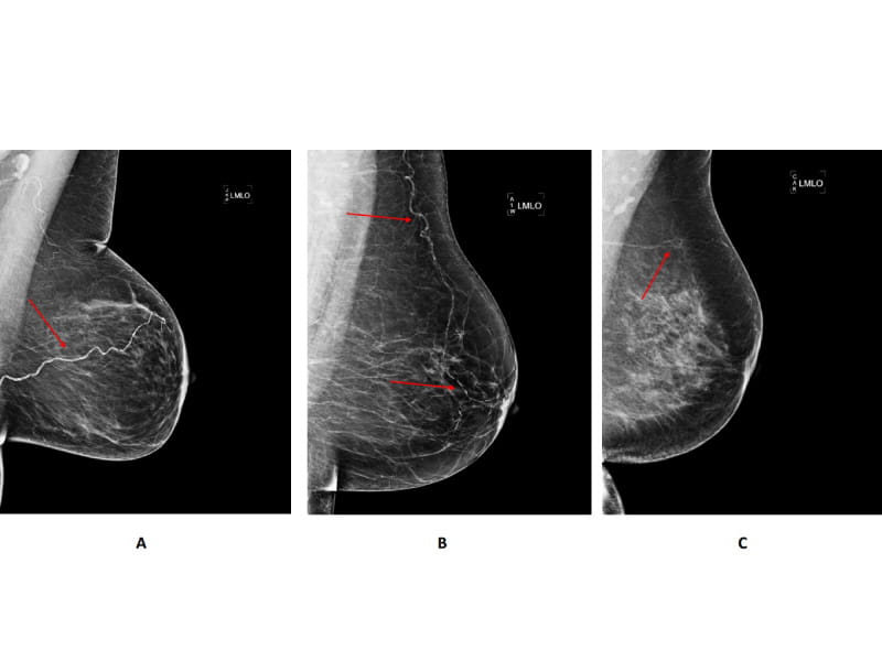
Researchers found that breast arterial calcification, which commonly appears as white spots on breast images and indicates a buildup of calcium in the arteries, is associated with an increased risk for developing cardiovascular disease. The findings published Tuesday in the American Heart Association journal Circulation: Cardiovascular Imaging.
Breast arterial calcification can occur as women age and is related to Type 2 diabetes, high blood pressure and inflammation. It is a marker for stiffening arteries but is not the same type of calcification found in the inner layer of the arteries that is caused by smoking or high cholesterol levels. The appearance of calcification during breast imaging may be overlooked because it isn't believed to signal the presence of breast cancer.
"Currently, it is not the standard of care for breast arterial calcification visible on mammograms to be reported," lead study author Dr. Carlos Iribarren said in a news release. He is a research scientist at the Kaiser Permanente Northern California Division of Research in Oakland, California.
"Some radiologists do include this information on their mammography reports, but it's not required," he said. "We hope that our study will encourage an update of the guidelines for reporting breast arterial calcification from routine mammograms."
Previous research by the same investigators published in Annals of Epidemiology found 26% of women 60 to 79 years old showed evidence of breast arterial calcification. That percentage grew as the women aged. By age 79, more than half of the women in the study showed calcium buildup in the arterial walls of their breasts.
In the new study, researchers analyzed health records for 5,059 racially and ethnically diverse postmenopausal women who had digital mammogram screening at nine centers in northern California between October 2012 and February 2015. The women, ages 60-79, were followed for 6 1/2 years after their screenings to see if they had a heart attack, stroke or any other type of cardiovascular disease.
Women who showed evidence of calcification were 51% more likely to develop heart disease or have a stroke than those who showed no calcification in the arteries of their breasts. They were 23% more likely to develop any type of cardiovascular disease, which included heart failure and peripheral artery disease. Calcification was more prevalent among women who identified themselves as white or Hispanic and less common among those who self-identified as Black or Asian.
Considering cardiovascular disease is the leading cause of death for women, the researchers said their findings suggest mammograms could be another useful tool for the early identification and prevention of heart disease in women. The American Cancer Society recommends mammograms every year for women 45-54, with the option to switch to every two years for women 55 and older.
Doctors can use the "opportunity to discuss ways to optimize heart health, such as engaging in routine physical activity, high-quality diet and maintaining a healthy weight," said Dr. Sadiya Khan, co-author of an editorial that published with the study. She is an assistant professor of medicine in the division of cardiology at Northwestern University's Feinberg School of Medicine in Chicago.
"However, it is really important to note that the absence of breast arterial calcification did not translate into low risk and should not be falsely reassuring when no breast arterial calcification is present," Khan said. "Optimal risk factor control is equally important for all women with and without breast arterial calcification."
If you have questions or comments about this story, please email [email protected].