Fetal Echocardiography / Your Developing Child's Heart
Overview of congenital heart disease
Congenital heart disease is a problem that occurs with the fetus’s heart while it is still developing. It's seen in approximately 1% of babies born in the United States and is the most common form of birth defect.
Congenital heart defects (CHD) range from mild to severe. Some require surgical repair in the newborn period and some may resolve on their own with time. Your pediatric cardiologist will be able to counsel you as to the severity of your baby's heart defect.
What is fetal echocardiogram?
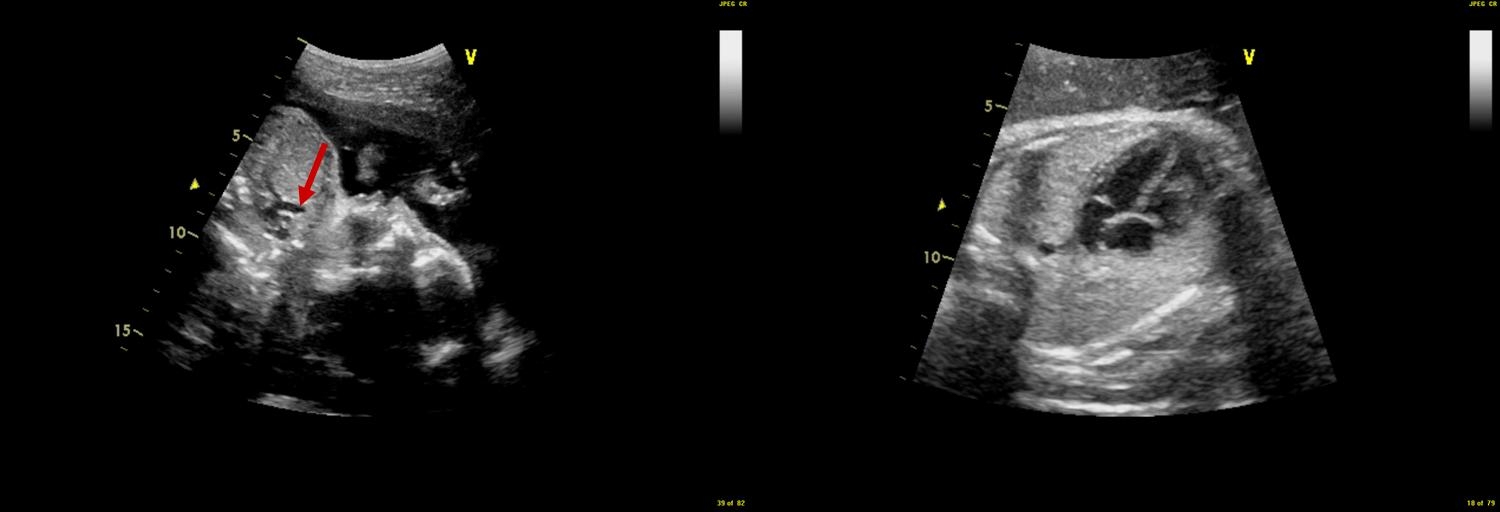
A fetal echocardiogram is a detailed ultrasound performed of the baby's heart before the baby is born. A small camera called a transducer is placed on the pregnant mother's abdomen and sends out ultrasonic sound waves. The ultrasound waves bounce off the baby's organs, including the heart and are sent back to the camera which then creates a moving picture of the different parts of the heart for the doctor to evaluate. The sound waves can also detect blood flow throughout the baby's heart. This enables the doctor to evaluate the structure and function of the fetal heart.
Who needs one?
Fetal echocardiograms are recommended in the following circumstances:
- If a first-degree relative has been diagnosed with a congenital heart defect. First-degree relative includes the child’s mother, father and any siblings.
- If there is a known family history of disorders that are passed along from generation to generation such as Marfan's syndrome or tuberous sclerosis.
- If the fetus has been diagnosed with a genetic abnormality including disorders with an abnormal number of chromosomes (for example, Down syndrome).
- Abnormal amniocentesis.
- If the woman has taken drugs that are known to cause congenital heart defects including isotretinoin, alcohol, phenytoin, amphetamines, lithium or estrogenic steroids.
- If the woman has specific health problems such as diabetes (which she had prior to pregnancy), phenylketonuria or autoimmune diseases such as systemic lupus erythematosus.
- If the woman had specific infections during pregnancy such as rubella.
- If a heart abnormality is suspected on routine ultrasound.
- If there’s an abnormal fetal heart rate or rhythm. This can be an irregular heartbeat or heart rate that is too fast or too slow.
- If there is some other reason to suspect the baby is at higher risk for heart problems.