Mammograms may help predict heart disease, stroke risk in women after menopause

By American Heart Association News

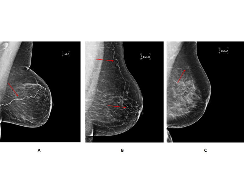
Examples of mammograms showing breast arterial calcification.  (Photo courtesy Circulation: Cardiovascular Imaging)
Examples of mammograms showing breast arterial calcification. (Photo courtesy Circulation: Cardiovascular Imaging)

Routine mammograms used to screen for breast cancer also could help identify postmenopausal women at higher risk for heart attacks or strokes, a new study suggests.

Researchers found that breast arterial calcification, which commonly appears as white spots on breast images and indicates a buildup of calcium in the arteries, is associated with an increased risk for developing cardiovascular disease. The findings published Tuesday in the American Heart Association journal Circulation: Cardiovascular Imaging.

Breast arterial calcification can occur as women age and is related to Type 2 diabetes, high blood pressure and inflammation. It is a marker for stiffening arteries but is not the same type of calcification found in the inner layer of the arteries that is caused by smoking or high cholesterol levels. The appearance of calcification during breast imaging may be overlooked because it isn't believed to signal the presence of breast cancer.

"Currently, it is not the standard of care for breast arterial calcification visible on mammograms to be reported," lead study author Dr. Carlos Iribarren said in a news release. He is a research scientist at the Kaiser Permanente Northern California Division of Research in Oakland, California.

"Some radiologists do include this information on their mammography reports, but it's not required," he said. "We hope that our study will encourage an update of the guidelines for reporting breast arterial calcification from routine mammograms."

Previous research by the same investigators published in Annals of Epidemiology found 26% of women 60 to 79 years old showed evidence of breast arterial calcification. That percentage grew as the women aged. By age 79, more than half of the women in the study showed calcium buildup in the arterial walls of their breasts.

In the new study, researchers analyzed health records for 5,059 racially and ethnically diverse postmenopausal women who had digital mammogram screening at nine centers in northern California between October 2012 and February 2015. The women, ages 60-79, were followed for 6 1/2 years after their screenings to see if they had a heart attack, stroke or any other type of cardiovascular disease.

Women who showed evidence of calcification were 51% more likely to develop heart disease or have a stroke than those who showed no calcification in the arteries of their breasts. They were 23% more likely to develop any type of cardiovascular disease, which included heart failure and peripheral artery disease. Calcification was more prevalent among women who identified themselves as white or Hispanic and less common among those who self-identified as Black or Asian.

Considering cardiovascular disease is the leading cause of death for women, the researchers said their findings suggest mammograms could be another useful tool for the early identification and prevention of heart disease in women. The American Cancer Society recommends mammograms every year for women 45-54, with the option to switch to every two years for women 55 and older.

Doctors can use the "opportunity to discuss ways to optimize heart health, such as engaging in routine physical activity, high-quality diet and maintaining a healthy weight," said Dr. Sadiya Khan, co-author of an editorial that published with the study. She is an assistant professor of medicine in the division of cardiology at Northwestern University's Feinberg School of Medicine in Chicago.

"However, it is really important to note that the absence of breast arterial calcification did not translate into low risk and should not be falsely reassuring when no breast arterial calcification is present," Khan said. "Optimal risk factor control is equally important for all women with and without breast arterial calcification."

If you have questions or comments about this story, please email [email protected].


Noticias de American Heart Association News

American Heart Association News abarca las enfermedades cardíacas, el ataque o derrame cerebral y los problemas de salud relacionados. No todas las opiniones expresadas en las historias de American Heart Association News reflejan la posición oficial de la American Heart Association. Las declaraciones, las conclusiones, la precisión y veracidad de los estudios publicados en revistas científicas de la American Heart Association o presentados en reuniones científicas de la American Heart Association son solo de los autores del estudio y no reflejan necesariamente la orientación, las políticas o las posiciones oficiales de la American Heart Association.

Los derechos de autor pertenecen a la American Heart Association, Inc. y están reservados todos los derechos. Se concede permiso, sin ningún costo y sin necesidad de realizar una solicitud adicional, a las personas, medios de comunicación y esfuerzos de educación y concientización no comerciales para vincular, citar, extraer o reimprimir estas historias en cualquier medio, a condición de que no se modifique el texto y se haga la referencia adecuada a American Heart Association News.

Otros usos, incluidos productos o servicios educativos que se venden con fines de lucro, deben cumplir con las Directrices para el permiso de los derechos de autor de la American Heart Association. Consulta los términos de uso completos. Estas historias no pueden usarse para promover o respaldar un producto o servicio comercial.

DESCARGO DE RESPONSABILIDAD SOBRE CUIDADO DE LA SALUD: Este sitio y sus servicios no constituyen una recomendación médica, un diagnóstico ni un tratamiento. Siempre consulte a un profesional de la salud para el diagnóstico y el tratamiento, lo que incluye sus necesidades médicas específicas. Si tiene o sospecha que tiene algún problema o afección médica, comuníquese inmediatamente con un profesional de la salud calificado. Si te encuentras en Estados Unidos y tienes una emergencia médica, llama al 911 o al número de emergencia local, o solicita ayuda médica de emergencia de inmediato.