His company's CPR learning app helped save an employee's 2-year-old son

By Nancy Brown, American Heart Association CEO

Trivie CEO Lawrence Schwartz
Trivie CEO Lawrence Schwartz. (Photo courtesy of Lawrence Schwartz)

Amid pulsating music, flying bodies and all the other stimulation radiating from his 8-year-old daughter's dance class, Lawrence Schwartz felt as if he'd lost his balance.

Yet he was sitting in a chair, working on his laptop.

Realizing how odd the sensation was, Schwartz looked up, gathered himself then returned to the spreadsheet on his screen.

The cells were swirling as if they were inside a lava lamp.

Schwartz stood, turned to a friend nearby and explained to her what was happening. Except, words didn't come out of his mouth. Only a floppy tongue and drool.

As his body stiffened and his right side burned, he heard the woman say, "Are you OK?" Then he heard someone else say, "He's having a stroke."

Schwartz, a former college powerlifter and fitness author who was still in excellent shape at 42, indeed was having a stroke, the kind caused by bleeding in his brain. The bleeding came from a tumor announcing its presence.

Fourteen years later, Schwartz is alive and well. And, because of a series of events sparked by that day at the dance studio, so is Beckham Morgan, the 2-year-old son of one of Schwartz's employees.

This is the story of those events, a series of dots connected by recovery and gratitude, brain training and brain power, and the moment when the cusp of dying turns into a second chance at living.

***

At first, ER staff thought Schwartz was having a panic attack. A doctor recognized the severity.

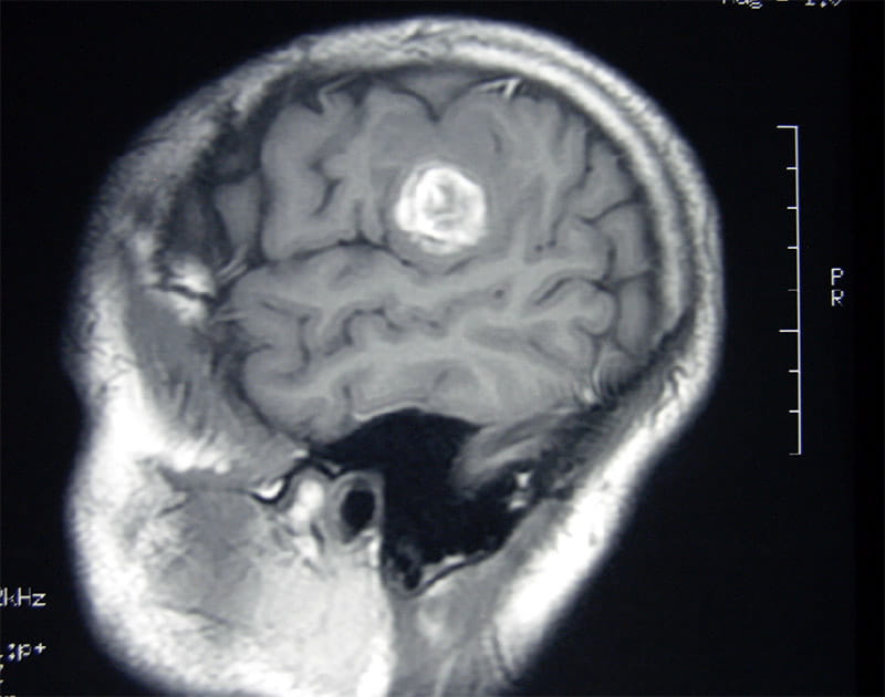
A brain scan showed the tumor. Had it grown a few more millimeters, it could've been fatal. Still, Schwartz's life remained in jeopardy because, by all indications, the tumor was most likely cancerous.

A scan of Lawrence Schwartz's brain, with the tumor highlighted. (Photo courtesy of Lawrence Schwartz)
A scan of Lawrence Schwartz’s brain, with the tumor highlighted. (Photo courtesy of Lawrence Schwartz)

He spent several days in neuro intensive care, healing from the stroke and preparing for surgery to remove the tumor. At the suggestion of his surgeon, Schwartz prepared a will.

The last thing he did before heading to the operating room was tell his then-girlfriend, "If I don't make it out of this, go enjoy your life."

As they held each other, she kissed his head and said a prayer.

Lawrence Schwartz gets a good-luck kiss from his then-girlfriend, now-wife Jackie. (Photo courtesy of Lawrence Schwartz)
Lawrence Schwartz gets a good-luck kiss from his then-girlfriend, now-wife Jackie. (Photo courtesy of Lawrence Schwartz)

***

The surgery went well, and Schwartz was home less than two weeks later. Better still, the tumor wasn't cancer.

Schwartz had an abnormal cluster of tiny blood vessels known as a cavernous hemangioma. The tumor calcified, meaning that it grew a hard shell; the shell burst because the blood had nowhere else to go.

Schwartz became fascinated by the brain. He dove into how it works – and how it can malfunction.

He learned there are two types of stroke: hemorrhagic like he suffered, and the most common form, ischemic, which is caused by a blood clot. Both can happen to anyone at any age.

Much of the best information Schwartz found came from the American Stroke Association, which is part of my organization, the American Heart Association. He began showing his gratitude by supporting events in Dallas, home to both him and the AHA. He even donated a prized possession – a fedora worn by the late Dallas Cowboys coach Tom Landry during a game – for the auction at an AHA fundraiser.

***

Two years after the stroke, Schwartz and business partner Leland Putterman created Trivie: Battle of Wits, an app that allowed people to compete in trivia games against others in categories such as pop culture, history and science.

Lawrence Schwartz (left) and his business partner, Leland Putterman. (Photo courtesy of Lawrence Schwartz)
Lawrence Schwartz (left) and his business partner Leland Putterman. (Photo courtesy of Lawrence Schwartz)

It quickly rose to the No. 1 game in the Apple app store. Counting various spinoffs, the company boasted millions of downloads and tens of millions of individual games played.

Then Schwartz and Putterman realized something about their game and the science that was built into it.

"It turns out we had developed a digital format for something called retrieval practice," Schwartz said.

Retrieval practice is a cognitive strategy in which bringing information to mind enhances and boosts learning. Deliberately recalling information forces a person to examine what they know. It's one of the most effective ways to help the brain remember information long-term. Research shows it can fight Ebbinghaus' Forgetting Curve, a model of how facts, memories and other information are lost over time. The theory states that such loss can begin within days of learning something.

So Schwartz and Putterman pivoted their business to the realm of corporate learning.

The aim was to help companies get employees to better retain things they needed to know to do their jobs better. By blending its artificial intelligence with its digital DNA as a game-maker, Trivie also aimed to make learning fun and engaging.

***

At this point, about five years after his stroke, Schwartz's self-education about the brain had gone from personal to professional.

Then one day it hit him.

Why not take his appreciation of the AHA from personal to professional?

Why not see if the AHA could use his company's software to save lives?

"People who get certified in CPR by the American Heart Association need to remember that information during the lifespan of their credential – and I have a company that makes an app to help employees remember vital information," Schwartz thought.

He cold-called the AHA. One thing led to another, ultimately leading to the development of the AHA Knowledge Booster app.

It doesn't provide training in CPR, Basic Life Support and other related skills. Instead, as the name implies, it helps boost – and thus refresh and retain – that knowledge. And it does it in a fun, game-like way.

The the AHA Knowledge Booster app launched for Apple, Android and desktop devices early this year.
The AHA Knowledge Booster app launched for Apple, Android and desktop devices in early 2022.

***

The app launched for iOS, Android and desktop devices early this year.

A key architect of Trivie's platform was Tyler Morgan, Trivie's vice president of engineering. He also was one of the company's first hires, so he's well aware of Schwartz's fondness for the AHA.

In March, the AHA Knowledge Booster app had a major upgrade, and Morgan was among the final testers before it was released to the app stores. He went through every question, giving a different answer each time merely to see how it would respond – checking the code, looking at it on different devices and so on.

On Saturday, April 9, he spent so much time working on it that he promised his family he would spend Sunday with them.

He took his wife and kids to a social gathering. Although lightning in the area made the facility's Olympic-sized pool off-limits, there was plenty else to do.

Tyler's 2-year-old son, Beckham, had to stop swim lessons when he was 5 months old because of the COVID-19 pandemic. Still, he loves being in the water. He's also fearless. So when he saw a foam noodle floating in the empty pool, he went in after it.

Beckham wound up floating face down.

***

A teenage girl pulled him out of the water. He was lifeless and purple.

Tyler heard a commotion, recognized that it involved Beckham and raced over.

Tyler told someone to call 911, then started pushing hard and fast in the center of Beckham's chest. Beckham didn't immediately start breathing on his own. So Tyler began giving rescue breaths between compressions.

Soon, Beckham coughed. But he still wasn't fully revived. Tyler rubbed a knuckle against Beckham's sternum. The boy began crying and breathing.

"You did it, Papa!" a woman told Tyler. "I'm a nurse and I saw the whole thing. I couldn't have done it any better."

Tyler had never learned CPR, much less CPR for a child – which is different because of the stronger need for rescue breaths. (When an adult's heart stops, it's usually a cardiac issue; in kids, it's mostly respiratory.)

Everything Tyler knew came from interacting with the AHA Knowledge Booster app.

Beckham Morgan was saved with CPR by his dad, Tyler, who knew what to do because of his interaction with the AHA Knowledge Booster app. (Photo courtesy of Tyler Morgan)
Beckham Morgan was saved with CPR by his dad, Tyler, who knew what to do because of his interaction with the AHA Knowledge Booster app. (Photo courtesy of Tyler Morgan)

***

Schwartz was pulling into the parking lot of a Mexican restaurant when his phone rang. It was about 6 p.m. on a Sunday, a strange time for Tyler to call him.

Tyler frantically explained what happened. At the moment, Beckham was breathing on his own but was in an ambulance bound for a hospital; Tyler was driving there in his car. It was too soon to know whether the boy suffered any brain damage or other complications.

However it played out, Schwartz and Trivie deserved an assist in saving Beckham's life.

Schwartz grasped the power of it all. Tyler did, too, which is why he felt compelled to share the news with his boss.

"Take a video of what you did and how you did it," Schwartz told Tyler. "This could help save another life."

***

June 1-7 is CPR and AED Awareness Week, a great time to learn – or refresh – some basic lifesaving skills.

Just like Schwartz is proof that a stroke can happen to anyone at any time, Beckham is a reminder that anyone's heart can stop at any time, too.

Nearly 1,000 people per day go into cardiac arrest outside of a hospital. About 90% die, in part because so few get CPR from a bystander. It happens in only about 40% of the cases – yet when it does, survival is up to three times more likely.

***

Sitting with his daughters at the Mexican restaurant, Schwartz silently stared out the window.

He had a lot to process.

Next to him was the daughter whose long-ago dance class could've been where he died. He thought about that day and how grateful he was that the underlying condition that caused his stroke is not hereditary.

The Schwartz family, from left: Cole, Shelby, Lawrence, Jackie and Cameron. (Photo courtesy of Lawrence Schwartz.)
The Schwartz family, from left: Cole, Shelby, Lawrence, Jackie and Cameron. (Photo courtesy of Lawrence Schwartz)

Running a hand through his hair above his left ear, Schwartz could feel the scar from his brain surgery. Beneath that scar, several stainless steel screws hold together his skull.

He thought about his wife, who'd been his girlfriend back then. To this day, her signature show of affection is kissing his head.

Most of all, Schwartz connected the dots from those days when his own life hung in the balance to this one, the day Tyler Morgan used the knowledge he gained from working on an app to save the life of his 2-year-old son.

Beckham turned out to be fine. But at that moment, all Schwartz knew was that – like himself – the boy received a second chance at life.

"We believe that knowledge is the fundamental element that drives human growth, and the ability to acquire, retain and apply knowledge leads to better human experiences," Schwartz said. "In this case, that retained knowledge saved Beckham's life and changed the course of history for Tyler's family. If I never do another thing in business, I know that Trivie made a positive impact on the world. Beckham is the proof."

A version of this story appeared on Thrive Global.

If you have questions or comments about this American Heart Association News story, please email [email protected].


American Heart Association News Stories

American Heart Association News covers heart disease, stroke and related health issues. Not all views expressed in American Heart Association News stories reflect the official position of the American Heart Association. Statements, conclusions, accuracy and reliability of studies published in American Heart Association scientific journals or presented at American Heart Association scientific meetings are solely those of the study authors and do not necessarily reflect the American Heart Association’s official guidance, policies or positions.

Copyright is owned or held by the American Heart Association, Inc., and all rights are reserved. Permission is granted, at no cost and without need for further request, for individuals, media outlets, and non-commercial education and awareness efforts to link to, quote, excerpt from or reprint these stories in any medium as long as no text is altered and proper attribution is made to American Heart Association News.

Other uses, including educational products or services sold for profit, must comply with the American Heart Association’s Copyright Permission Guidelines. See full terms of use. These stories may not be used to promote or endorse a commercial product or service.

HEALTH CARE DISCLAIMER: This site and its services do not constitute the practice of medical advice, diagnosis or treatment. Always talk to your health care provider for diagnosis and treatment, including your specific medical needs. If you have or suspect that you have a medical problem or condition, please contact a qualified health care professional immediately. If you are in the United States and experiencing a medical emergency, call 911 or call for emergency medical help immediately.